
Ćwiczenia z hula hop zapewniają nie tylko świetną zabawę, ale także stanowią fantastyczny sposób na poprawę kondycji fizyczne...

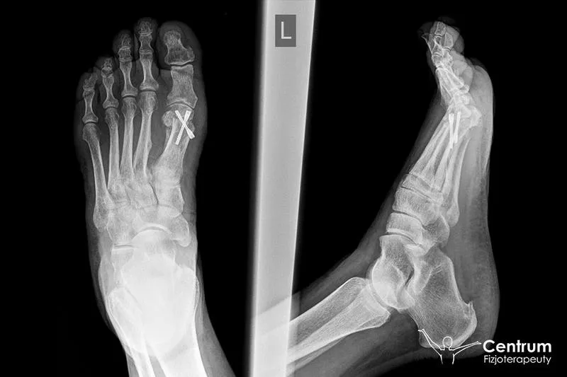
Wczesne metody fizjoterapii odgrywają kluczową rolę w walce z haluksami, czyli deformacjami palucha koślawego. Kiedy zauważym...

Przygotowanie olejku do masażu w domowym zaciszu stanowi doskonały sposób na relaks oraz samodzielną pielęgnację. Skoro już p...

Rehabilitacja lecznicza zawsze budzi emocje oraz zainteresowanie, szczególnie wśród osób zmagających się z różnymi schorzenia...

Terapia psychiatryczna to fascynujący proces, który łączy w sobie psychoterapię oraz rehabilitację psychiatryczną. W moim doświadczeniu, jej głównym celem staje się życie w większej harmonii oraz zroz...


Wczesne metody fizjoterapii odgrywają kluczową rolę w walce z haluksami, czyli deformacjami palucha koślawego. Kiedy zauważymy u siebie pierwsze objaw...

Różnice w wykształceniu między fizjoterapeutą a masażystą okazują się dość znaczące. Zawód fizjoterapeuty wiąże się z długą i szczegółową edukacją, kt...